通常のホワイトニングと医療ホワイトニングの違いをご存じですか?医療ホワイトニングは、歯科医師または歯科衛生士が行う医療機関専用のホワイトニングです。歯科専用のホワイトニングのため、安全かつ、高濃度で効果が高いホワイトニングです。当院は、医療ホワイトニングを行なっているため、即効性が高く、1回でも白さを実感しやすく、白さが長持ちしやすいホワイトニングをすることが可能です。
当院では、お客様のニーズに合わせたさまざまなホワイトニング施術を取り揃えています。短時間で効果を感じたい方や、持続性を重視したい方など、それぞれのご希望に応じて最適な方法をご提案します。
また、歯ぐきの色を明るくする施術もご用意しておりますので、明るく健康的な口元を目指す方はぜひご相談ください。
自由診療
★★★★☆
短時間で効果を実感したい方におすすめの方法です。
歯科医院にて専門的な機器や薬剤を用いて行い、即効性が高いのが特徴です。歯の表面を明るくし、1回の施術でも白さを実感できるため、特別なイベントの前などに人気があります。
歯科医師の管理下で行われるため、安全で効果的なホワイトニングが可能です。
自由診療
★★★☆☆
ご自宅でご自身のペースで進められるホワイトニング方法です。
歯科医院でマウスピースを作成し、専用の薬剤を使用して白くしていきます。
即効性はありませんが、少しずつ自然な白さを取り戻すことができ、持続性にも優れています。
忙しい方や、日常生活に取り入れたい方におすすめです。
自由診療
★★★★★
「オフィスホワイトニング(歯科医院で行うホワイトニング)」と「ホームホワイトニング(ご自宅で行うホワイトニング)」を組み合わせて行う方法です。それぞれのメリットを活かすことで、より高い効果と持続性が期待できます。
自由診療
エアフローは、専用のパウダーと水を使用して歯の表面をクリーニングする施術です。
着色汚れや歯垢を優しく取り除き、自然な白さを引き出します。ホワイトニング効果も期待できますが、歯本来の色を整えるメンテナンスにも効果的です。
痛みも少なく、歯や歯ぐきに優しいのが特徴です。
自由診療
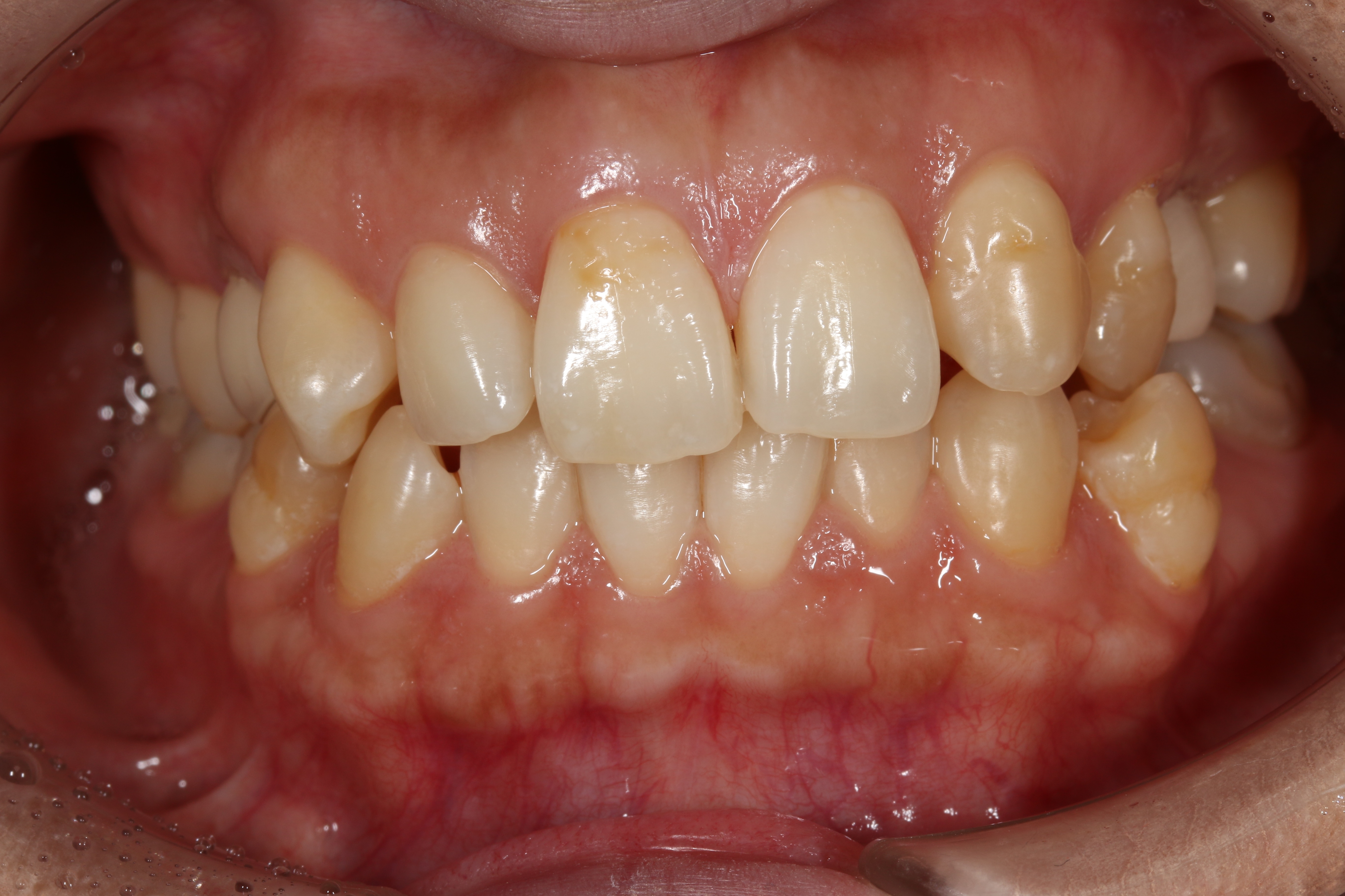
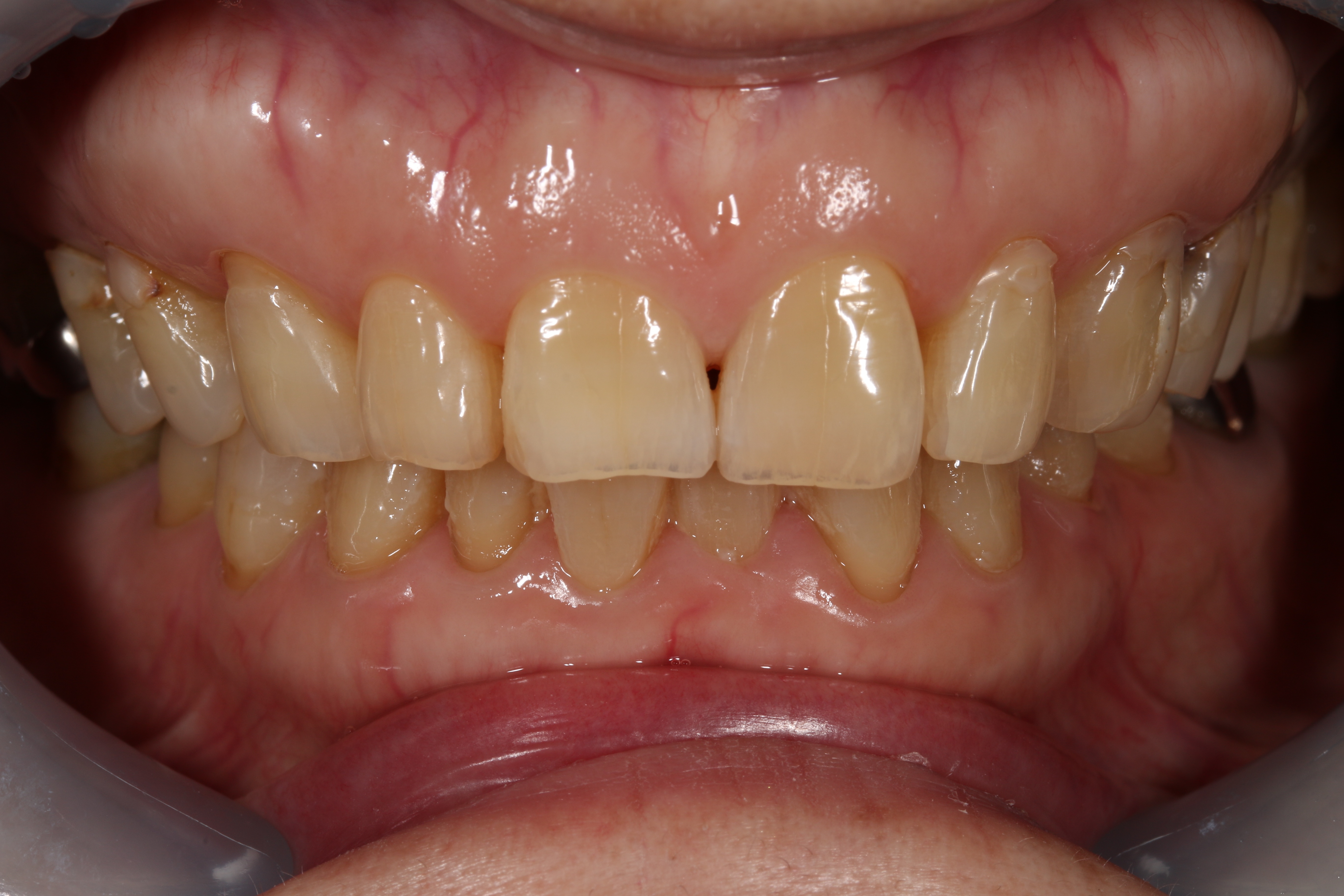
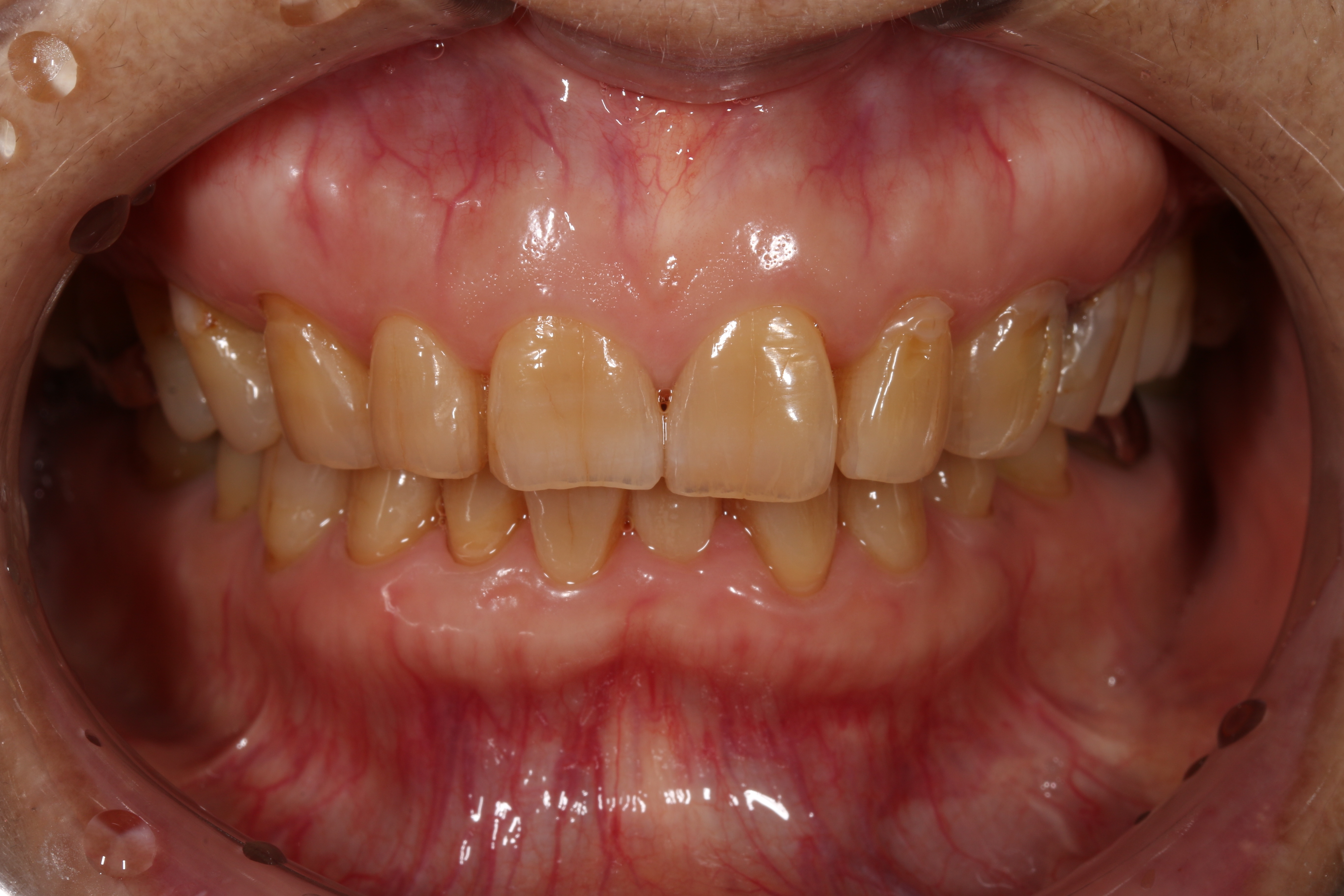
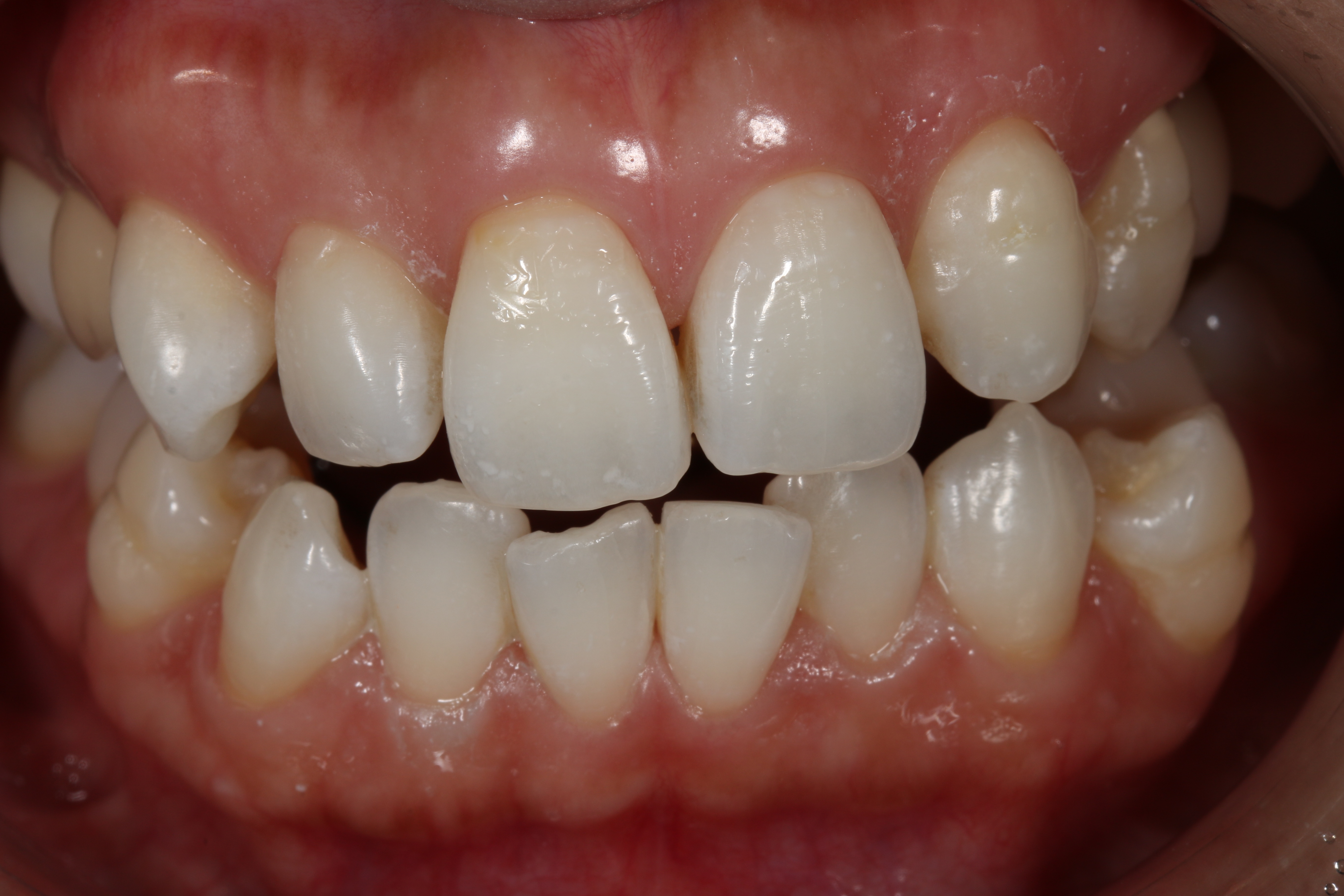
ガムピーリングは、歯ぐきの黒ずみを改善し、健康的なピンク色に導く施術です。
メラニン色素による歯ぐきのくすみや黒ずみが気になる方に適しています。
薬剤を使用して歯ぐきをピーリングすることで、明るい口元を実現します。歯ぐきも含めて全体的に明るい印象にしたい方におすすめです。
各種割引があります。詳しくはお問い合わせください。

まずはカウンセリングで、患者様のご希望やお悩みをじっくりお伺いします。
それぞれのホワイトニング方法の特徴や効果についても詳しくご説明し、最適な施術方法をご提案します。
気になることや不安な点もお気軽にご相談ください。

次に、現在のお口の状態を確認するための検査を行います。
歯や歯ぐきの健康状態を確認し、ホワイトニングが安全に行えるかを判断します。
患者様に適した施術を進めるために欠かせないステップです。

ホワイトニング前には、歯の表面に付着した汚れや歯垢をしっかりとクリーニングします。
クリーニングを行うことで、薬剤が歯に均等に行き渡り、より効果的に白さを引き出すことができます。

ホームホワイトニングを希望される方には、専用のマウスピースを作成するための歯型を取ります。
ご自宅で安心して使用できるよう、患者様の歯にぴったり合ったマウスピースを準備します。

オフィスホワイトニング・エアフロー・ガムピーリングの場合は、院内での施術を行います。
ホームホワイトニングをご選択の場合は、ご自宅での使用方法や注意点を説明し、ホワイトニングを開始していただきます。

施術後、アフターチェックにてホワイトニングの効果を確認し、必要に応じたアドバイスを行います。
色の持続やケア方法についてもご説明しますので、白さを長く保つためのサポートをいたします。
© 2025 Ikejiri city dental clinic